近年来,干细胞治疗骨关节炎受到了广泛的关注。海内外新闻频道也相继发布类似报道。此前【湖南新闻联播】曾报道,骨关节炎可通过干细胞治疗,目前国内已有项目获得批准进入临床研究及转化应用阶段。

随着研究的进展,许多关于干细胞在骨关节炎领域的新探讨油然而生,比如人们会思考,干细胞治疗能达到怎么样的临床效果?干细胞的发展会对传统手术治疗带来哪些变革?
近期,来自新西兰的研究团队教授报道了1例54岁膝骨关节炎(OA)患者接受间充质干细胞治疗的成功案例【1】。该患者确诊骨关节炎后接受了单剂量自体间充质干细胞(MSCs)与富含血小板血浆(PRP)支架的联合治疗后疗效显著。
通过这个案例,帮助大家进一步了解干细胞治疗骨关节炎。
传统治疗后病情恶化,干细胞治疗帮助消除肿胀和囊肿
这位患者是一名销售人员,身体健康,常年健身房运动。就诊时自诉右膝疼痛、僵硬、肿胀,以及活动范围受限(约0-100度)。
2018年7月的首次MRI显示膝关节大量积液和中度腘窝囊肿、内侧半月板撕裂、髌股水肿和软骨下囊肿(SBCs)。初步诊断为过度运动引发的右膝关节骨关节炎。2018年8月,他接受了超声波引导的类固醇注射。但是治疗后他的临床表现仍在进一步恶化,膝盖肿胀明显。
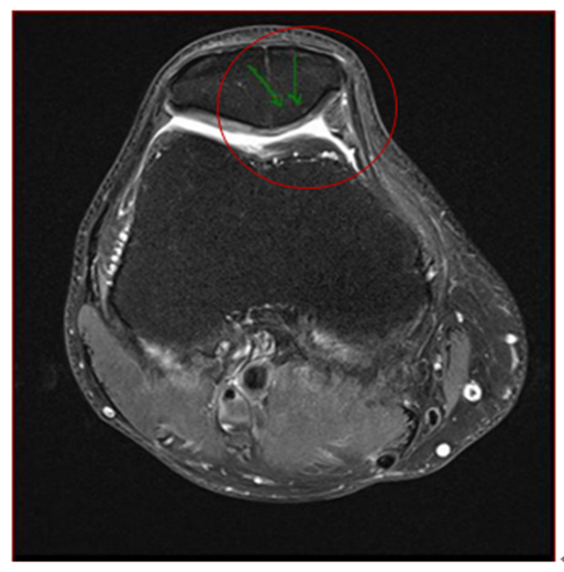
2018年10月的复查MRI显示半月板撕裂、进行中的髌骨骨髓水肿(BME)和软骨下囊肿(SBCs)以及进一步扩大腘窝囊肿的进展(如图1a和1b)。骨科医生建议采用关节镜下半月板切除术、清创术和未来的膝关节置换术进行手术干预。

图1a:间充质干细胞治疗前T2 MRI显示髌骨骨髓水肿和囊肿;1b:腘窝囊肿
图片来源:【1】
小科普
腘窝囊肿(baker cyst):腘窝囊肿指腘窝深部滑囊肿大或膝关节滑膜囊向后膨出的统称,可引起膝后部疼痛和发胀,并可触及有弹性的软组织肿块。
骨髓水肿(bone marrow edema , BME):骨髓水肿是多种非特异性组织学异常的症状,包括骨髓坏死、纤维化和骨小梁异常。主要病理表现为骨基质水肿、纤维组织增生及炎性细胞浸润,发生机制与病变组织血管过多、灌注过度、水的外渗作用等有关【3】。BME是膝关节骨性关节炎结构恶化的一个危险因素,与骨关节炎的进展有关。
骨髓水肿(BME)和软骨下囊肿(SBCs)治疗方式:BME和SBC没有完全治愈的方法,但可以通过抗炎药、减肥、理疗等方式来控制症状,并可以在日常生活中进行低冲击活动,例如游泳或骑自行车,而不是跑步和跳跃等高冲击活动。此外,股四头肌强化训练适合于减缓现有损伤的进一步发展并预防新损伤的发生。
随后,患者选择了自体间充质干细胞(MSCs)治疗。
2019年12月,研究团队将剂量为80 x 106的MSCs与PRP联合植入患者右膝,在超声引导下通过内侧膝关节中注射了总体积为8毫升生物细胞治疗制剂,其中包含2毫升的MSCs和6毫升的PRP。
治疗后三个月的随访,该患者自诉疼痛消失,并且再没有出现关节僵硬或肿胀,膝关节的活动范围增加为0-135度。
治疗九个月后,患者的临床症状仍保持稳定,核磁共振成像显示半月板撕裂情况没有进一步发展,滑膜炎显著减少和腘窝囊肿消退,但BME和SBC仍然很明显(如图2a和2b)。
MSCs治疗后33个月,患者的MRI表现仍然稳定,显示髌骨骨髓水肿和囊肿完全消退(图3),内侧半月板撕裂状态稳定,软骨损伤没有进一步发展。

图2a:间充质干细胞治疗后9个月,髌骨骨髓水肿和囊肿稳定;2b:腘窝囊肿几乎消失,图片来源:【1】

图3:间充质干细胞治疗后33个月显示髌骨骨髓水肿和囊肿完全消退。
图片来源:【1】
新思考:细胞生物疗法能否代替传统的置换手术?
在这则案例中,由于MSCs联合PRP的联合抗炎作用,患者取得了显著的临床和放射学结果。他的症状得到了明显缓解,核磁共振扫描显示关节滑膜炎明显改善,腘窝囊肿的大小显著缩小。半月板撕裂和软骨变薄保持稳定,骨髓水肿和软骨下囊肿均消退,表明MSCs治疗取得了成功。
由此可见,扩增的自体间充质干细胞与PRP联合使用,可以解决骨髓水肿和软骨下囊肿,理论上可以修复骨关节炎引起的损伤。不过未来还需要通过大型随机对照试验进一步验证这一结论。
展望
针对该案例,相关研究人员提出了新的研究方向——细胞生物学治疗是否可以通过控制症状、停止或减缓骨关节炎的进展以及修复缺陷来代替传统的手术治疗?随着研究的进一步开展,细胞生物学治疗将会改变骨关节炎患者的治疗局面。
间充质干细胞疗法是一门很有前途的科学,因为它可以提供适当的细胞信号来促进组织再生,发挥抗炎作用和免疫调节作用。间充质干细胞目前正在各种研究机构和临床实践中进行研究,以确定疗效和安全性。此外,进一步的随机对照试验表明,间充质干细胞在骨关节炎中表现出有效的治疗结果。随着间充质干细胞疗法的发展,未来在再生软骨,消除或推迟膝关节置换手术上会迎来新突破。
参考文献:
1. Mubark H. Expanded Mesenchymal Stem Cell Therapy for Symptomatic Knee Osteoarthritis[J]. Issues and Developments in Medicine and Medical Research Vol. 3, 2022: 111-116.
2. Betts J G, Young K A, Wise J A, et al. Anatomy and physiology[M]. 2013.
3. Zanetti M, Bruder E, Romero J, et al. Bone marrow edema pattern in osteoarthritic knees: correlation between MR imaging and histologic findings[J]. Radiology, 2000, 215(3): 835-840.
博雅新闻
行业政策

在线咨询
留言您的联系方式及需求,专业顾问将于收到资料后尽快与您回复。
我要预约
填写您的预约需求,您将获得相应的专业顾问满足您的需求。
电话咨询
全国统一客服专线400-885-0012,期待为您服务。
微信咨询
直接添加客服微信号,专业顾问随时准备解答您的一切疑问。
在线咨询
服务热线
400-885-0012
官方微信
TOP
观望只会错过守护宝宝和家庭的机会
存储新生儿干细胞
机会一生只有一次
扫码了解细胞新时代