9月21日为国际失智症日,又称为世界阿尔茨海默病日、世界老年痴呆日。据不完全统计,我国85岁以上老年人中,有1/3患有老年痴呆症。
众所周知,老年痴呆(AD)是由于大脑进行性的退化,而导致的记忆力减退、认知功能损害等变化。该疾病给人类医学带来了前所未有的挑战,众多临床专家、研究员纷纷想寻求一种有效、精准的方法治疗该疾病。目前老年痴呆常用药物的治疗作用主要集中在维持退化的神经元功能,并不能真正的治愈该疾病。
对于老年痴呆等神经退行性疾病,以干细胞为核心的再生医学带来了治疗的新希望。此前,发表在《Neural Regen Res》杂志上文章阐述这样一个观点——干细胞治疗提供一个能够“治愈”神经退行性疾病的潜在机会。


doi: 10.3969/j.issn.1673-5374.2012.23.009
在世界老年痴呆日之际,本文从干细胞治疗老年痴呆的原理以及临床进展等角度阐述,帮助大家认识这一疾病的临床治疗最前沿。
解铃还须系铃人,“干细胞”神经元再生成为治疗老年痴呆的希望
对于这类神经元退行性疾病的根本治疗手段,还需从神经元入手,是否寻找到弥补患者脑内神经元数量减少的办法,以此最终达到缓解甚至阻断该疾病发展的目的。早在1998年,人类首次将目光投在了“干细胞”身上,自此,干细胞便背负了治疗老年痴呆的使命。越来越多的科研人员将干细胞利用到老年痴呆的治疗研究当中。

干细胞是一类潜力巨大的细胞,它具有自我更新能力和多向分化能力,能够分化为神经元、星形胶质细胞以及少突胶质细胞等多种脑细胞。正是基于这项契机,干细胞为治疗老年痴呆带来了新的希望。
大批干细胞临床试验正在进行中
目前全球已开展大量有关干细胞治疗老年痴呆的临床试验,截止2022年9月,在美国国立卫生研究院的最大临床试验注册库中已有34项针对干细胞治疗老年痴呆的研究。

更令人振奋的是,早在2018年,一种用于老年痴呆的干细胞药物AstroStem在日本福冈三一诊所被首批使用。
在我国,干细胞治疗老年痴呆等神经退行性疾病也备受关注。2021年8月,北京市卫健委印发的《首都卫生发展科研专项2022年申请指南》提出,针对八类疾病鼓励开展干细胞治疗的相关研究,并给予市财政专项经费资助,其中就包括了神经退行性疾病。

我国已发表多个干细胞治疗老年痴临床研究结果
我国同样开展了不少干细胞治疗老年痴呆的临床研究并且发表文献。中山大学附属第三医院为12名确诊为老年痴呆的患者输注间充质干细胞治疗,结果显示其总有效率高达100%,其中具有显著疗效有10例患者,有疗2例[1]。
另外,根据发表的文献,济南长城医院干细胞治疗中心联合多个单位为10例老年痴呆患者进行自体骨髓间充质干细胞移植治疗。治疗后,经干细胞治疗的患者在平均简易智能测试方面表现更为优异,记忆力、认知功能及日常生活活动能力均得到明显改善[2]。

图1 干细胞注射途径(图片源于[2])
不仅如此,干细胞输注治疗安全可行。一项“立体定向脑内注射人间充质干细胞治疗AD病人”的临床试验结果表明,在治疗结束后的24个月随访时间内,患者没有出现与干细胞治疗相关的严重的不良反应[3]。

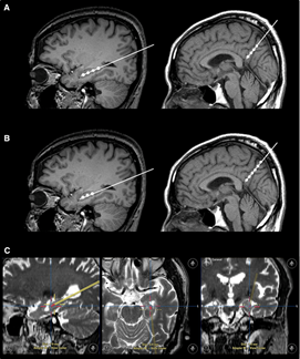
图2 立体定向注射(图片源于[3])

图3 淀粉样蛋白负荷、葡萄糖代谢及CFS生物标志物水平(图片源于[3])
干细胞通过多途径发挥治疗效果
那么干细胞是通过哪些途径发挥治疗作用的呢?经过多次研究证实,干细胞主要通过以下3种途径发挥疗效:
(1)直接分化为神经元,代替受损的神经细胞,重建神经通路;
(2)分泌神经营养因子,营养和保护胆碱能神经元,进一步促进内源性神经元再生;
(3)旁分泌免疫调节因子抑制炎症反应,降低炎性因子的释放,减少β-淀粉样蛋白。
可见,国内外均在大力开展干细胞治疗老年痴呆的临床研究,不管是扩大样本量,还是开发新的输注方式以及探索更合适的剂量,干细胞治疗老年痴呆的方法都在不断变得更加完善。专家预测,干细胞治疗将会在5~10年内有望成为治疗老年痴呆的有效方法,且具有重要的社会效益和经济效益,而造福广大患者。
参考文献
[1]https://kns.cnki.net/kns8/defaultresult/index
[2]李义召,王庆德,朱士文,崔贵祥,谢克勤,时庆,侯怀水,沈伯钧.自体骨髓间充质干细胞移植治疗阿尔茨海默病4例[J].中国组织工程研究与临床康复,2008(43):8431-8433.https://kns.cnki.net/KNS8/manage/export.html?displaymode=NEW&filename=cjfd2008!XDKF200843011!1!0.
[3]https://www.ncbi.nlm.nih.gov/pmc/articles/PMC5975048/#appsec1.
博雅新闻
行业政策

在线咨询
留言您的联系方式及需求,专业顾问将于收到资料后尽快与您回复。
我要预约
填写您的预约需求,您将获得相应的专业顾问满足您的需求。
电话咨询
全国统一客服专线400-885-0012,期待为您服务。
微信咨询
直接添加客服微信号,专业顾问随时准备解答您的一切疑问。
在线咨询
服务热线
400-885-0012
官方微信
TOP
观望只会错过守护宝宝和家庭的机会
存储新生儿干细胞
机会一生只有一次
扫码了解细胞新时代