本文重点摘要
今日跟大家科普外泌体与眼睛健康的知识。科学研究证明: (1)外泌体是维持眼部稳态的重要调节工具。 (2)外泌体维持角膜透明与修复能力。 (3)调控视网膜稳态与神经保护。 (4)调控免疫反应与抗血管生成。 (5)外泌体是眼病早筛极具价值的窗口。 (6)外泌体已经被应用到干眼、黄斑变性、视网膜病变、青光眼等眼部健康问题的干预当中。
你有没有过这样的时刻——盯着屏幕一整天,眼睛干涩发胀;风一吹就流泪;熬夜后视物发糊?
我们习惯把这些症状归咎于用眼过度。但在显微镜下,真正忙碌的,是一群直径只有30–150纳米的小囊泡——外泌体。
图源文献[2];间充质干细胞衍生的外泌体在眼病中发挥着关键作用 这些微小囊泡曾被误认为是细胞代谢垃圾,如今却被证实是眼部细胞间通讯的关键信使。 它们就像一个个封装精密的快递包裹,由眼部各类细胞分泌,内部装载着蛋白质、脂质、核酸等生物活性物质细胞间穿梭,参与炎症调节、血管生成、神经保护和组织修复等关键过程。 在一篇题为《Exosomes in Ocular Health and Disease》的综述中,研究者系统梳理了外泌体在眼部生理维持与疾病中的作用,让我们逐渐意识到外泌体是维持眼部稳态的重要调节工具。

外泌体如何守护你的眼睛?
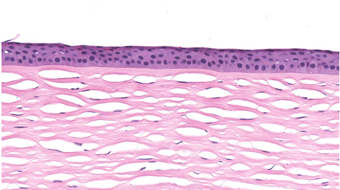
1. 维持角膜透明与修复能力 角膜之所以透明,是因为细胞排列有序、炎症反应受到严格控制。一旦受损,角膜需要快速修复,但又不能留下瘢痕——这就需要一个精准的调度系统。 图;角膜基质中的胶原纤维高度有序的层状排列,是保持光线透过而不散射的关键 研究发现,角膜基质细胞和间充质干细胞来源的外泌体,正好扮演了这个角色。它们可以抑制炎症因子释放、减少瘢痕形成,同时又能促进上皮细胞迁移与增殖。 换句话说,当角膜受损时,外泌体就像一支训练有素的救援队,既能扑灭“火灾”(炎症),又能修复“墙体”(组织),最终让角膜恢复如初。 2. 调控视网膜稳态与神经保护 视网膜是眼球最精密的感光结构,但它同时也很脆弱。在糖尿病视网膜病变、青光眼、年龄相关性黄斑变性等疾病中,视网膜细胞会逐渐受损甚至死亡。 这时,外泌体通过在不同视网膜细胞之间传递特定的miRNA和神经营养因子,能够有效抑制炎症、减少细胞凋亡。 尤其是间充质干细胞来源的外泌体,已被证实能显著提高视网膜神经节细胞的存活率,延缓视神经退化。 3. 调控免疫反应与抗血管生成 正常情况下,眼睛是一个“免疫特赦”器官,即炎症反应被严格控制。 但在某些眼病中,免疫系统仍然会攻击自身,或者生长出异常血管(比如湿性AMD中的脉络膜新生血管),遮挡光线进入。 外泌体则可以起到“维稳”作用。 外泌体中含有抗血管生成因子,能阻止病态血管侵入角膜;外泌体也能携带免疫调节分子,帮助维持眼部免疫平衡,防止免疫反应失控。 4. 早期诊断的“液体活检”窗口 外泌体广泛存在于泪液、房水、玻璃体等眼内外液体中,其所携带的蛋白质、miRNA等分子成分,能够在一定程度上反映来源细胞的生理或病理状态。 近年来,有研究尝试分析泪液或房水中的外泌体分子谱,用于探索干眼、糖尿病视网膜病变、青光眼等疾病的早期诊断可能性。由于采集方式相对微创甚至无创,外泌体被视为“液体活检”研究方向之一。 不过,目前相关研究仍处于探索阶段,检测方法的标准化和临床大规模验证仍有待进一步推进。未来,如果技术成熟,外泌体或许能够成为眼病早筛的一个有价值窗口。 5. 外泌体作为改善眼部健康的临床新前沿 越来越多的研究表明,外泌体为眼科疾病的治疗开辟了创新路径。 在角膜损伤修复中,外泌体可加速上皮愈合、抑制瘢痕与新生血管; 在干眼症治疗中,能修复眼表、调节免疫微环境、恢复泪液分泌; 在青光眼神经保护中,则可直抵视网膜神经节细胞,抑制凋亡、促进轴突存活。


此外,外泌体还可以作为新一代药物载体应用至眼部健康的改善干预当中。
外泌体具有相对较低的免疫原性,并具备一定的生物屏障穿透能力,因此被认为具有作为药物递送载体的潜在优势。
目前,研究者正尝试通过工程化改造或载药技术,使外泌体携带抗VEGF分子、神经营养因子或siRNA等活性物质,以实现更精准的靶向递送。
图片来自文献2
在湿性年龄相关性黄斑变性(AMD)和青光眼的动物模型中,这类策略已显示出一定的治疗潜力,例如抑制异常血管生成或减缓神经损伤进展。
小结
从最初被认为只是细胞代谢的副产品,到如今被确认为眼部细胞间通讯的重要参与者以及改善眼部健康的新策略,外泌体的研究正在拓展我们对眼科疾病机制的理解。随着分离纯化技术的进步、工程化改造能力的提升以及临床转化研究的推进,外泌体有望成为眼科精准诊断和干预的实用工具,帮助在更早阶段识别疾病、更精准地进行干预、更有效地保护视功能。
参考文献:
[1]Beit-Yannai E. Exosomes in Ocular Health and Disease. Curr Eye Res. 2025 Dec;50(12):1197-1210. doi: 10.1080/02713683.2025.2515996. Epub 2025 Jul 23. PMID: 40698627.
[2]Hernandez BJ, Robertson DM. Exosomes in Corneal Homeostasis and Wound Healing. Curr Eye Res. 2025 Dec;50(12):1240-1248. doi: 10.1080/02713683.2025.2459335. Epub 2025 Feb 12. PMID: 39936626; PMCID: PMC12339755.
https://medicine.nus.edu.sg/pathweb/normal-histology/eye-cornea
相关新闻
博雅新闻
行业政策

在线咨询
留言您的联系方式及需求,专业顾问将于收到资料后尽快与您回复。
我要预约
填写您的预约需求,您将获得相应的专业顾问满足您的需求。
电话咨询
全国统一客服专线400-885-0012,期待为您服务。
微信咨询
直接添加客服微信号,专业顾问随时准备解答您的一切疑问。
在线咨询
服务热线
400-885-0012
官方微信
TOP
观望只会错过守护宝宝和家庭的机会
存储新生儿干细胞
机会一生只有一次
扫码了解细胞新时代